Zähne-Bleaching und Zahnaufhellung in Leverkusen
Für ein wirklich strahlens weisses Lächeln
Professionelle Zahnaufhellung bei Zahnarzt Strahlemann in Leverkusen
Die Professionelle Zahnaufhellung ist Wellness für Ihren Mund
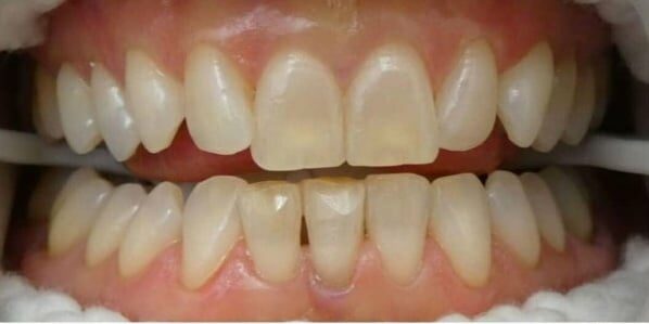
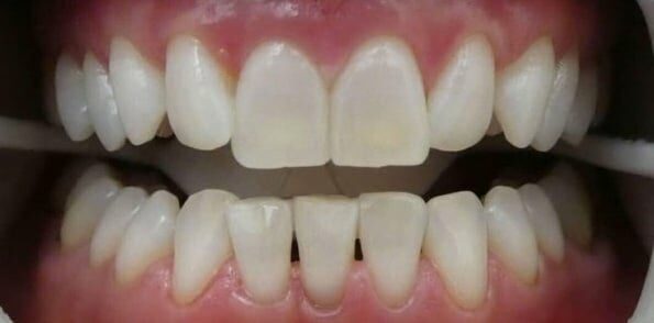
Ganz klar: Strahlend weiße Zähne sind eines der schönsten Accessoires, das Sie tragen können. Wenn Sie allerdings viel rauchen, Kaffee oder Tee trinken oder gerne zu färbenden Gewürzen wie Curry oder Kumin greifen, so verfärben sich die Zähne schnell. Die gute Nachricht: Mit nur einer einzigen Behandlung kriegen wir Ihre Zähne wieder weiß!
Bei einem “In-Office-Bleaching“, auch “Chairside-Methode” genannt, findet die Aufhellung der Zähne – wie der Name schon sagt – in der Strahlemann-Praxis statt. Wir arbeiten mit hochkonzentrierten Materialien, können das Zahnfleisch jedoch ideal schützen und somit ein perfektes und ungefährliches Ergebnis erreichen.
Ein Bleaching ist für so gut wie jeden geeignet und eine professionelle Behandlung ist weitestgehend schmerzfrei. Nach dem Bleaching können Sie tatsächlich bis zu zehn Jahre lang von der Zahnaufhellung profitieren. Sie dürfen die Behandlung aber auch ohne Bedenken alle paar Jahre wiederholen. Bei Strahlemann beraten wir Sie hinsichtlich der unterschiedlichen Möglichkeiten. Wir decken transparent alle Kosten auf und helfen Ihnen in Leverkusen dabei, die richtige Behandlung zu finden!
Außerdem kann sich das Ergebnis regelmäßiger, professioneller und guter Zahnpflege sehen, riechen und schmecken lassen – überzeugen Sie sich selbst 🙂

Was ist Zahn Bleaching?
Wie funktioniert professionelle Zahnaufhellung bei Zahnarzt Strahlemann und was kann man mit Zahn Bleaching erreichen.
Die Vorteile vom Zahn-Bleaching bei Strahlemann in Leverkusen
- Transparente Aufklärung und Abrechnung
- Wir verwenden ausschließlich medizinisches Bleaching für schonende Behandlung und lange Haltbarkeit und
- Ergebnis sofort sichtbar - halbar bis zu 4 Jahren
- Die Behandlung dauert maximal 1,5 Std. und verläuft meist völlig schmerzfrei
- Unser medizinisches Zahnbleaching ist "Made in Germany" und besonders schonend und langanhaltend


